Direkt zum Inhalt
Untersuchungen (Diagnostik)

Untersuchungen (Diagnostik)

Je nach Erkrankung  werden verschiedene Untersuchungen zur Abklärung durchgeführt.

  • Befragung (Anamnese) und klinische Untersuchung

    Die Untersuchung von Hand ist der erste Schritt in der Diagnostik. Die Schilddrüse wird von Arzt untersucht: Die Konsistenz und die Grösse der Schilddrüse werden getastet. 

  • Laborwerte

    Zu den Untersuchungen gehört auch eine Blutentnahme. Je nach Krankheitsbild oder Verdachtsdiagnose, werden verschiedene Werte getestet. Die häufigsten Laborwerte die untersucht werden, sind das TSH, die Schilddrüsenhormone, das Calcitonin, Kalzium, Vitamin D, Eiweiss (Albumine) und die mögliche Antikörper, welche bei Autoimmunerkrankungen auftreten.

  • Sonographie (Ultraschall) der Schilddrüse

    Diese ermöglicht die Beurteilung der Grösse der Schilddrüse, sowie verdächtiger Knoten.

  • Feinnadel-Punktion

    Bei verdächtigen Knoten wird mittels einer Nadel eine Punktion durchgeführt und die Gewebeprobe zur mikroskopischen Untersuchung geschickt.

    Bei 10% der Vergrösserungen sind die Resultate nicht sicher beurteilbar und es müssen weitere Abklärungen oder eine Wiederholung der Punktion durchgeführt werden.

  • Szintigraphie

    Eine Szintigraphie zeigt die Funktion der Schilddrüse auf. Areale mit vermehrter Stoffwechselaktivität können festgestellt werden und mit z.B. der Ultraschalluntersuchung verglichen werden.

  • Laryngoskopie

    Diese Untersuchung wird von unseren Hals-Nasen-Ohren-Spezialisten durchgeführt. Bei einer Laryngoskopie wird die Funktion der Stimmbänder getestet. Bei Heiserkeit, grosser Schilddrüse oder Voroperationen ist es wichtig, festzustellen, ob der Stimmbandnerv intakt ist.

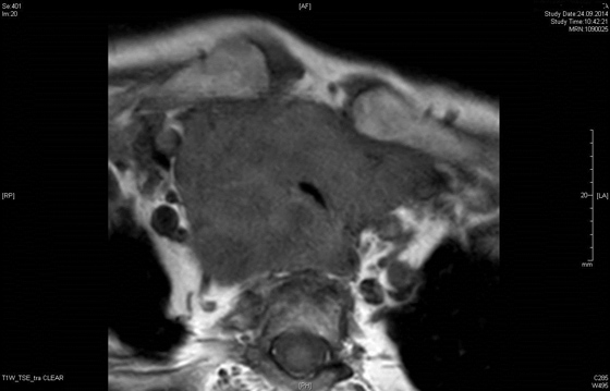
  • Weitere Abklärungen

    In speziellen Fällen brauchen wir zusätzliche Untersuchungen wie eine Magnetresonanztomographie (MRI) oder eine Computer-Tomographie (CT), um eine die Ausdehnung eines Befundes zu beurteilen.

Leitung

Markus Müller
Prof. Dr. med.
Markus Müller
CMO Akutsomatik Geschäftsleitung
Spital Thurgau AG
Chefarzt Chirurgie
Kantonsspital Frauenfeld
Prof. Dr. med.
Markus Müller
Fabian Hauswirth
Dr. med.
Fabian Hauswirth
Chefarzt Chirurgie
Spital Thurgau AG
Dr. med.
Fabian Hauswirth
zum Seitenanfang
appointmentaudiogaleriebabyconstructiondepartmentdescriptiondoctordocumentsE-MailemergencyeventtypehostjoblinksmessageminusmovienewsorganiserpersonpicturepluspricerundgangsearchStatistiktarget audiencetarget grouptelephonetimeunternehmenvisitorwebcam