Direkt zum Inhalt
Blinddarm (Akute Appendizitis)

Blinddarm (Akute Appendizitis)

Die Blinddarmentzündung gehört zu den häufigsten Ursachen von abdominalen Schmerzen.

  • Was ist der Blinddarm?

    Medizinisch wird als Blinddarm der Beginn des aufsteigenden Dickdarms bezeichnet, welcher als kleine Sackgasse im rechten Unterbauch beginnt. Hier befindet sich ein Anhängsel, welcher Wurmfortsatz genannt wird. Dieser Wurmfortsatz kann sich durch Darmbakterien oder Verstopfung durch z.B. Kotsteine entzünden. Diese Entzündung des Wurmfortsatzes wird umgangssprachlich als Blinddarmentzündung bezeichnet. Die Blinddarmentzündung oder Appendizitis tritt bei 100 Personen pro 100‘000 Einwohner pro Jahr auf, das Risiko im Laufe des Lebens an einer Blinddarmentzündung zu erkranken, liegt bei 8%. Eine Blinddarmentzündung kann in jedem Alter auftreten, am häufigsten betroffen sind statistisch Menschen unter 30 Jahren.

    Meist beginnt die Erkrankung mit einem Verschluss im inneren des Wurmfortsatzes und führt durch den Aufstau von Flüssigkeit, welche die Schleimhaut produziert, im Verlauf zu einem Druckanstieg im Wurmfortsatz mit anschliessender Entzündung. Als Ursache für den Verschluss findet man bei 35% der akuten Blinddarmentzündungen Kotsteine (Koprolythen) oder dicken viskösen Stuhl. Selten kommen auch andere Ursachen vor wie Tumore, Parasiten und Fremdkörper.

  • Beschwerden

    Meist sind die ersten Symptome unspezifisch, es kommen z.B. unklare kolikartige Schmerzen im Oberbauch und im Nabelbereich vor. Übelkeit, Erbrechen und auch Durchfall können die Unterscheidung zur Magendarmgrippe erschweren. Wandern die Schmerzen anschliessend in den rechten Unterbauch kann dies ein Hinweis auf eine Blinddarmentzündung sein.

  • Abklärungen

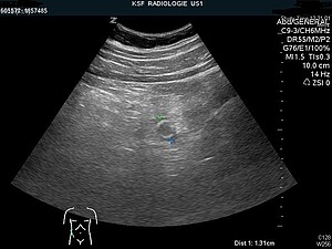
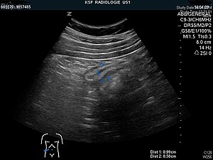
    Meist ist die Diagnose der Appendizitis eine klinische Diagnose, welche durch den Untersuchungsbefund (Abtasten des Bauchraums) gestellt wird. Zur weiteren Sicherung der Diagnose werden Entzündungswerte im Blut (Erhöhung der weissen Blutkörperchen und das sogenannte C-reaktive Protein CRP) untersucht. Die Diagnose kann durch eine Ultraschalluntersuchung oder eine Computertomographie unterstützt werden.

  • Behandlungsmöglichkeiten

    Wenn eine Blinddarmentzündung diagnostiziert ist, erfolgt eine Besprechung der Therapiemöglichkeiten. Eine Appendizitis wird nach internationalen Standards und den allgemeingültigen Richtlinien operativ entfernt.

    1. Laparoskopische Appendektomie
      Auch Minimalinvasiv-/ oder Knopflochchirurgie genannt. Der Blinddarm wird durch 3 kleine, max. 2 cm grosse Schnitte entfernt.
    2. Offene Appendektomie
      Bei der konventionellen, offenen Methode entfernt der Chirurg den Wurmfortsatz über einen kleinen Schnitt am rechten Unterbauch.
  • Häufigste Fragen

    Was muss ich nach einer Blinddarmoperation beachten?
    Bei problemlosem Verlauf können Sie bereits am Operationstag mit dem Kostaufbau beginnen. Sollte eine schwere Entzündung des Blinddarms bestehen (Perforation oder Peritonitis) muss eine intravenöse Antibiotikatherapie während mehreren Tagen fortgeführt werden, die Dauer ist abhängig vom Ausmass der Entzündung und dem Verlauf nach der Operation. Eine körperliche Schonung wird für 1-2 Wochen empfohlen.

    Wie lange bleibe ich hospitalisiert?
    Der Spitalaufenthalt dauert ca. 2-3 Tage.

    Wann werden die Fäden (Nähte) entfernt, wie sind die Nachkontrollen?
    Nach der Entlassung werden die Nachkontrollen in der Regel durch den Hausarzt durchgeführt, meist empfehlen wir die Vorstellung nach 2-3 Tagen nach der Entlassung. Die Fadenentfernung findet nach etwa 8-12 Tagen nach der Operation statt und kann durch den Hausarzt erfolgen.

    Wie viele Mitarbeiter sind an einer Blinddarmoperation beteiligt?
    Insgesamt sind 16 Mitarbeitende beteiligt! Auf der Notfallstation wird von einer Pflegefachperson Blut abgenommen und eine Assistenzärztin oder ein Assistenzarzt macht die erste Untersuchung. Die Radiologiefachperson lhilft der Radiologin oder dem Radiologen bei der Ultraschalluntersuchung des Bauches. Die Chirurgin oder der Chirurg entscheidet anhand der Untersuchung, der Blutwerte und der Ultraschalluntersuchung, ob es sich um eine Appendizitis handelt und ob eine Operation erfolgen muss. Damit eine Operation durchgeführt werden kann, benötigen die Petienten eine Vollnarkose, die entsprechenden Medikamente werden von den Narkoseärzten (Anästhesisten) und von der Pflegefachperson Anästhesie verabreicht. Eine OP-Pflegefachperson bereitet die Operation vor und kontrolliert die Lagerung im OP-Saal. Die Chirurgin oder der Chirurg und eine Assistenzärztin/ein Assistenzarzt operieren, während eine OP-Assistenz ihnen die Instrumente reicht. Auch die OP-Assistenz braucht eine Zudienung, da sie mit den Chirurgen steril am Operationstisch arbeitet und manchmal zusätzliche Instrumente benötigt. Nach der Operation werden in der Sterilisation die Instrumente gereinigt und wieder sterilisiert. Der Operationssaal muss gereinigt werden, der entfernte Wurmfortsatz wird von den Pathologen untersucht. Wenn die Patientin oder der Patient wach ist, wird sie von den Pflegefachperson der Station abgeholt und in sein Zimmer gebracht.

Leitung

Markus Müller
Prof. Dr. med.
Markus Müller
CMO Akutsomatik Geschäftsleitung
Spital Thurgau AG
Chefarzt Chirurgie
Kantonsspital Frauenfeld
Prof. Dr. med.
Markus Müller
Fabian Hauswirth
Dr. med.
Fabian Hauswirth
Chefarzt Chirurgie
Spital Thurgau AG
Dr. med.
Fabian Hauswirth
zum Seitenanfang
appointmentaudiogaleriebabyconstructiondepartmentdescriptiondoctordocumentsE-MailemergencyeventtypehostjoblinksmessageminusmovienewsorganiserpersonpicturepluspricerundgangsearchStatistiktarget audiencetarget grouptelephonetimeunternehmenvisitorwebcam