Direkt zum Inhalt
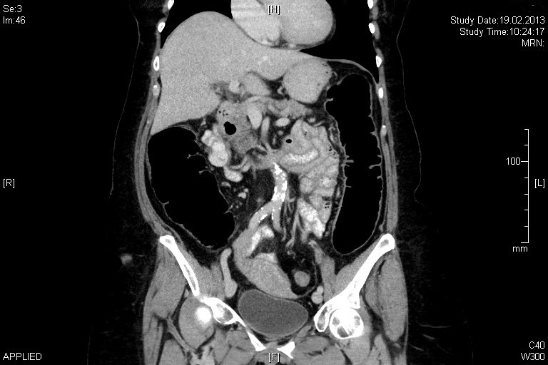
Darmverschluss (Ileus)

Darmverschluss (Ileus)

Kommt es zu einem Verschluss des Darmes, spricht man von einem Ileus. Als Ursachen können Verwachsungen (Adhäsionen) oder einzelne Verwachsungsstränge (Briden) vorkommen, welche oft durch vorherige Operationen entstehen. Weiter sind auch Tumore im Bereich des Dick- oder Dünndarms als Verschlussursache möglich. 

Beschwerden

Die Beschwerden können entweder langsam beginnen und nach mehreren Tagen, selten auch nach Wochen, das volle Bild eines Darmverschlusses zeigen. Genauso können die Beschwerden als plötzlicher und anhaltender Schmerz auftreten ohne weitere Klinik. Die Patientinen und Patienten klagen oft über einen geblähten Bauch, Erbrechen, Übelkeit, assoziiert mit einer mehrtägigen Verstopfung (Obstipation).

Behandlungsmöglichkeiten

Zeigt sich in den Untersuchungen kein eindeutiges Zeichen eines kompletten Darmverschlusses, kann eine Überwachungsphase stattfinden. Meist wird zu Beginn eine Magensonde eingelegt, um ein mögliches Erbrechen von Flüssigkeiten zu verhindern. Ebenso werden Flüssigkeit und Medikamente über eine Infusion verabreicht. Nach einer beschwerdefreien Phase kann ein vorsichtiger Nahrungsaufbau ohne Magensonde erfolgen. Sind anschliessend keine Beschwerden mehr vorhanden, wird auf eine Operation verzichtet.

Zeigt sich in den Untersuchungen allerdings eine kompletter Darmverschluss oder die Schmerzen und Beschwerden bestehen während bzw. nach der Überwachungsphase weiter, erfolgt eine Operation. In Abhängigkeit von möglichen Voroperationen kann eine Operation laparoskopisch (minimalinvasiv) oder über einen grösseren Schnitt erfolgen. Dabei werden Verwachsungen gelöst, Briden durchtrennt oder gegebenenfalls betroffene Darmabschnitte entfernt. 

Leitung

Markus Müller
Prof. Dr. med.
Markus Müller
CMO Akutsomatik Geschäftsleitung
Spital Thurgau AG
Chefarzt Chirurgie
Kantonsspital Frauenfeld
Prof. Dr. med.
Markus Müller
Fabian Hauswirth
Dr. med.
Fabian Hauswirth
Chefarzt Chirurgie
Spital Thurgau AG
Dr. med.
Fabian Hauswirth
zum Seitenanfang
appointmentaudiogaleriebabyconstructiondepartmentdescriptiondoctordocumentsE-MailemergencyeventtypehostjoblinksmessageminusmovienewsorganiserpersonpicturepluspricerundgangsearchStatistiktarget audiencetarget grouptelephonetimeunternehmenvisitorwebcam