Direkt zum Inhalt
Divertikulitis

Divertikulitis

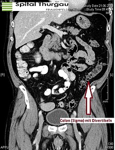
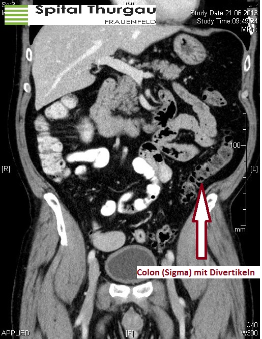
Ein Divertikel bildet sich aus Darmschleimhaut, welche sich durch kleine Lücken der muskulären Darmwand hindurchdrückt. Als Ursache geht man von einer Drucksteigerung im Übergang zwischen Sigma und Rektum (Hochdruckzone des Dickdarms) aus. Diese Divertikel nehmen im Alter zu, bei etwa 60-70% der 70-jährigen Patientinnen und Patienten ist eine sogenannte Divertikulose in der Darmspiegelung zu erkennen. Entzündet sich eines dieser Divertikel, spricht man von einer Divertikulitis. Meist kommt es zu Schmerzen im linken Unterbauch, teilweise begleitet mit Obstipation und Fieber.

Die Diagnostik beginnt auch hier mit der Anamnese und der klinischen Untersuchung. Der Bauchraum wird abgetastet, oft findet sich zum Druckschmerz eine tastbare Walze im linken Unterbauch. Die weitere Diagnostik der Wahl ist anschliessend eine Computertomographie. Hier können nicht nur Entzündungen, sondern auch kleinere Abszesse erkannt werden. Nachdem alle Befunde und die Blutwerte vorliegen, kann entschieden werden, welche Therapie möglich ist.

  • Behandlungsmöglichkeiten

    Konservative Therapie
    Beim erstmaligen Auftreten einer Divertikulitis wird eine Antibiotikatherapie eingeleitet. Oft erfolgt diese, gerade wenn bereits Fieber aufgetreten ist, intravenös und somit stationär. Wenn die Beschwerden rückgängig sind, kann auf Antibiotikatabletten gewechselt werden. Zu diesem Zeitpunkt ist die Therapie auch ambulant möglich. Die Spitalaufenthaltsdauer beträgt meist 2 - 4 Tage. Zur weiteren Diagnostik sollte nach 6 Wochen eine Darmspiegelung durchgeführt werden, um ein Tumorgeschehen sicher auszuschliessen und die Diagnose der Divertikulose nochmals zu bestätigen.

    Operative Therapie
    Eine operative Therapie kann selten im Notfall stattfinden, meist aber geplant erfolgen.

    Notfalloperation
    In seltenen Fällen ist die Entzündung so ausgedehnt, dass bereits das Bauchfell mit entzündet ist, ein Darmverschluss vorliegt oder der entzündete Darmanteil an einer Stelle perforiert (durchgebrochen, geplatzt) ist und es somit zu einem akuten und möglicherweise lebensbedrohlichen Krankheitsbild kommt. In diesen Fällen erfolgt eine sofortige Notfalloperation.  

    Elektive Operation
    Häufig kommt es im Verlauf des Lebens zu mehrfachen Episoden einer Divertikulitis, welche mit einer Antibiotikatherapie gut behandelt werden können. Allerdings kann man davon ausgehen, dass mit jeder Entzündung ein erhöhtes Risiko entsteht, dass Komplikationen eintreten. Von chirurgischen Gesellschaften wurde daher die Empfehlung gegeben, bei rezidivierenden Entzündungsschüben eine Operation im entzündungsfreien Intervall durchzuführen. Der Darmanteil mit Divertikeln wird bei diesem Eingriff entfernt. Die Operation kann in der Regel laparoskopisch (minimalinvasiv) durchgeführt werden.

    Hemikolektomie
    Die laparoskopische Operation wird durch 3 - 4 etwa 1cm grosse Schnitte durchgeführt. Ein weiterer etwas grösserer Schnitt im Unterbauch wird benötigt, um den entfernten Darmanteil entfernen zu können.

    Die Vorteile der laparoskopischen Technik im Vergleich zum grösseren Bauchschnitt (offene Technik) liegt in der früheren Rückkehr der Darmfunktion und den geringeren Schmerzen nach der Operation, aber auch im kosmetischen Ergebnis. Nicht immer ist die minimalinvasive Methode durchführbar.

    Selten kann aufgrund von technischen oder anatomischen Gründen von der laparoskopischen Methode auf die offene Technik gewechselt werden.

    Sollte die Festigkeit der Darmnaht beispielsweise bei starker Darmwandentzündung, bei allgemein reduzierter Durchblutung oder nicht sicher auszuschliessender Spannung vollständige Ruhe zur Heilung benötigen, kann in der gleichen Operation ein kurzzeitiger künstlicher Darmausgang (Schutzileostomie) angelegt werden. In der Regel wird dieser in einer weiteren kleineren Operation nach 6 Wochen wieder zurückverlegt.

  • Häufigste Fragen

    Was muss ich nach dieser Operation beachten?
    Bei problemlosem Verlauf können Sie bereits am Operationstag mit dem Kostaufbau beginnen. Zuerst mit flüssiger Kost, danach rascher Kostaufbau sobald die Darmfunktion wieder vorhanden ist. 

    Wie lange bleibe ich im Spital?
    Der Spitalaufenthalt dauert ca. 5 - 7 Tage.

    Wann sollen die Klammern/Fäden entfernt werden?
    Nach dem Austritt werden die Nachkontrollen durch die Hausärztin oder den Hausarzt ausgeführt. Die Klammern-/Fädenentfernung findet nach ca. 8 - 12 Tagen statt. 

Leitung

Markus Müller
Prof. Dr. med.
Markus Müller
CMO Akutsomatik Geschäftsleitung
Spital Thurgau AG
Chefarzt Chirurgie
Kantonsspital Frauenfeld
Prof. Dr. med.
Markus Müller
Fabian Hauswirth
Dr. med.
Fabian Hauswirth
Chefarzt Chirurgie
Spital Thurgau AG
Dr. med.
Fabian Hauswirth
zum Seitenanfang
appointmentaudiogaleriebabyconstructiondepartmentdescriptiondoctordocumentsE-MailemergencyeventtypehostjoblinksmessageminusmovienewsorganiserpersonpicturepluspricerundgangsearchStatistiktarget audiencetarget grouptelephonetimeunternehmenvisitorwebcam