Direkt zum Inhalt
Gallensteine

Gallensteine

Gallensteine

Die Gallenblase dient als Speicherreservoir für die Gallenflüssigkeit, welche kontinuierlich von der Leber produziert wird. In einem nüchternen Zustand wird die Galle in der Gallenblase gespeichert und dort um den Faktor 3 - 5 eingedickt. Bei der Nahrungsaufnahme, speziell von Fetten und Aminosäuren, wird ein Hormon (Cholezystokinin) im Zwölffingerdarm (Duodenum) produziert. Dieses Hormon, zusammen mit neuronalen Mechanismen, bewirken eine Kontraktion der Gallenblase mit Abgabe von Gallenflüssigkeit in den Darm. Damit unterstützen sie dem Darm, fetthaltige Speisen zu verdauen.

  • Was sind Gallensteine

    Ein Gallenstein ist ein festes, kristallisiertes Ausfallsprodukt der Gallenflüssigkeit und entstehen durch ein Ungleichgewicht löslicher Stoffe in der Gallenflüssigkeit. Gallensteine sind häufig und verursachen oft keine Beschwerden, etwa 10 - 15% der Erwachsenen sind Gallensteinträger, wobei nur ein Viertel dieser Bevölkerung Beschwerden entwickelt. Frauen sind doppelt so häufig betroffen wie Männer. Erst wenn die Steine am Ausgang der Gallenblase einklemmen und so den Abfluss der Galle behindern, kann es zu starken Krämpfen und Entzündungen der Gallenblase kommen. Die Beschwerden treten vor allem nach dem Verzehr von fettigen Speisen und nachts, durch Gallenblasenkontraktionen auf.

    Medizinische Terminologie

    • Cholezystolithiasis : Gallensteine
    • Choledocholithiasis: Steine im Gallengang, also zwischen Gallenblase und Darm
    • Cholezystitis: Entzündung der Gallenblase.
    • Cholangitis: Entzündung des Gallengangs, oft mit Gelbsucht verbunden

    Beschwerden

    • Kolikartige Oberbauchschmerzen rechts, vor allem nach einem üppigen Essen. Es kann zu einer Übelkeit und/oder Erbrechen zusätzlich kommen.


    Andere Symptome, welche auftreten können sind:

    • Gelbsucht
    • Rötlicher Urin
    • Weisslicher Stuhlgang
  • Abklärungen

    Beim Verdacht einer Erkrankung der Gallenblase oder Gallenwege erfolgt zuerst eine klinische Untersuchung mit Abtasten des Bauchraums. Oft ist hier eine Schmerzhaftigkeit des rechten oberen Bauches auffällig. Anschliessend erfolgt neben einer Blutentnahme ein Ultraschall des Bauchraums. 

    • Sonographie: Diese dient dem Nachweis von Gallensteinen, Entzündungen der Gallenblase, Gallengangsteinen oder anderen Ursachen der Beschwerden. Bezüglich der Gallenblasenentzündung ist dies die Diagnostik der Wahl.
    • Computertomographie (CT): Sollten die vorherigen Abklärungen nicht ausreichen bzw. weitere Fragestellungen im Raum stehen, kann eine Computertomographie durchgeführt werden. Mit einer CT können weitere Entzündungen (Divertikulitis) oder Krankheiten (wie z.B. Tumore) festgestellt werden.
    • Gastroskopie (Magenspiegelung): Ähnliche Beschwerden können beispielsweise durch eine Magenschleimhautentzündung (Gastritis oder Ulcus) hervorgerufen werden.
    • ERCP = Endoskopisch retrograde Cholangiopankreatikographie: Sollten sich Steine im Gallengang (Choledocholithiasis) bestätigen, müssen diese Steine durch eine Spiegelung (endoskopisch) des Magens bzw. bis zum Eingang des Gallenganges in das Duodenum durch die Kolleginnen und Kollegen der Gastroenterologie entfernt werden.


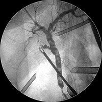
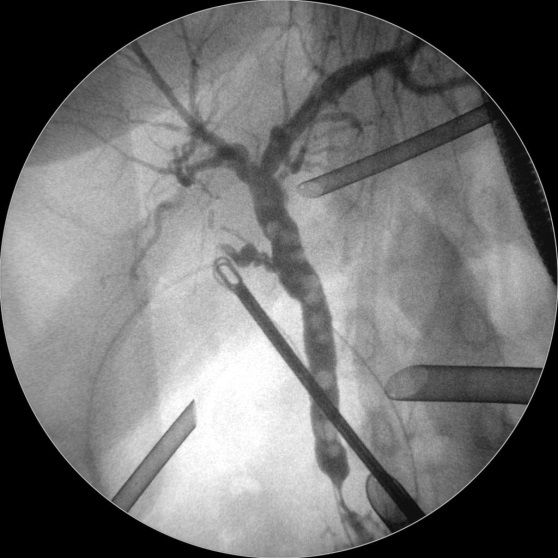
    Bild links: Cholangiographie: Mit Hilfe eines Bildverstärkers wird Kontrastmittel in den Gallengang injiziert, um die Gallengangsteine und Gallengangsanatomie darzustellen. 

    Bild rechts: Papilla Duodeni oder Sphinkter Oddi: Mündung von Hauptgallengang (Ductus choledochus) und Bauchspeicheldrüsengang (Ductus pancreaticus) in den Zwölffingerdarm (Duodenum).

  • Behandlungsmöglichkeiten

    Eine Cholezystektomie ist die operative Entfernung der Gallenblase.  

    • Laparoskopische Cholezystektomie: Auch Minimalinvasiv- oder Knopflochchirurgie genannt. Die Gallenblase wird durch kleine, max. 2 cm grosse Schnitte entfernt.
    • Offene Cholezystektomie: Grosser Schnitt unterhalb des Rippenbogens. Diese Methode wird heute nur noch selten benutzt.
    • Medikamentös: Bei der Auflösung von Gallensteinen durch die Einnahme von Medikamenten ist dies monatelang nötig. Weiter können kleiner werdende Steine in den Gallengang gelangen und schmerzhafte Koliken auslösen. 
    • Stosswellen Therapie: auch bekannt als extrakorporale Stosswellen Lithotripsie (ESWL) Zur Zertrümmerung von Gallensteinen. Kleinere Trümmerstücke können auch hier in den Gallengang gelangen und schmerzhafte Koliken verursachen.


    Bei beiden Methoden (medikamentös und Stosswellentherapie) bilden sich nahezu immer erneut Gallensteine. Deshalb werden sie nur in sehr seltenen Fällen (z.B. bei inoperable Patienten) verwendet.

  • Häufigste Fragen

    Was muss ich nach einer Gallenblasenoperation beachten?
    Bei problemlosem Verlauf können Sie bereits am Operationstag mit dem Kostaufbau beginnen. Die Hospitalisation dauert in diesem Fall insgesamt 2 - 3 Tage. Die Nachkontrollen erfolgen durch die Hausärztin oder den Hausarzt; das Nahtmaterial kann 8 - 12 Tage nach der Operation entfernt werden. Körperliche Schonung wird für 1 - 2 Wochen empfohlen.

    Wie lange bleibe ich Hospitalisiert?
    Den Spitalaufenthalt dauert ca. 2 - 3 Tage.

    Wann soll ich die Faden (Nähte) entfernen?
    Die Fadenentfernung findet nach ca. 8 - 12 Tage bei der Hausärztin oder dem Hausarzt statt.

    Kann ich ohne Gallenblase leben?
    Ja, die Gallenblase ist kein lebenswichtiges Organ. Die Gallenflüssigkeit fliesst nun kontinuierlich von der Leber direkt in den Darm. Selten ist mit einer Nahrungsunverträglichkeit bei grossen Mahlzeiten mit fettigen Speisen zu rechnen. 

Leitung

Markus Müller
Prof. Dr. med.
Markus Müller
CMO Akutsomatik Geschäftsleitung
Spital Thurgau AG
Chefarzt Chirurgie
Kantonsspital Frauenfeld
Prof. Dr. med.
Markus Müller
Fabian Hauswirth
Dr. med.
Fabian Hauswirth
Chefarzt Chirurgie
Spital Thurgau AG
Dr. med.
Fabian Hauswirth
zum Seitenanfang
appointmentaudiogaleriebabyconstructiondepartmentdescriptiondoctordocumentsE-MailemergencyeventtypehostjoblinksmessageminusmovienewsorganiserpersonpicturepluspricerundgangsearchStatistiktarget audiencetarget grouptelephonetimeunternehmenvisitorwebcam